جندوبة: نجاح أوّل عملية تركيب مفصل اصطناعي كامل بالمستشفى الجهوي بجندوبة
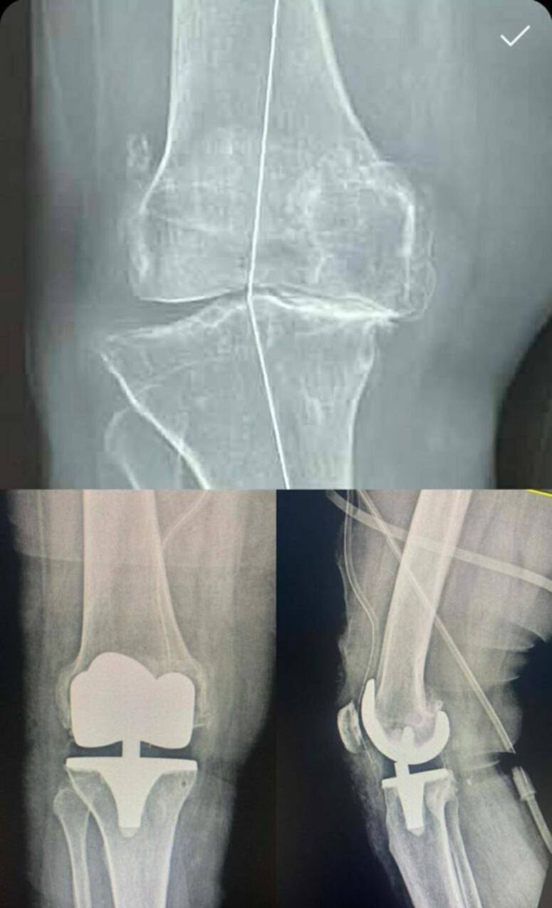
نجح فريق طبي بالمستشفى الجهوي بجندوبة، أمس الجمعة، في إجراء أول عملية جراحية دقيقة لتركيب مفصل اصطناعي كامل للركبة بالمؤسسة، لفائدة مريض يعاني من داء مفصل الركبة في مرحلة متقدمة (الفصال العظمي الشديد).
ووفق المدير الجهوي للصحة بجندوبة، خليل الغجاتي، فإنّ هذه العملية تعتبر أولى ثمار إضفاء الصبغة الجامعية على قسمي التخدير والإنعاش بالمستشفى الجهوي بجندوبة مطلع الشهر الجاري، ونتيجة لتوفر طاقم طبي مختص قادر على إجراء تدخلات ناجعة ومعالجة أمراض كانت تُحال سابقا إلى المستشفيات المركزية بالعاصمة، والتي تتطلب عادة آجال انتظار طويلة.
وقال الغجاتي، في تصريح تصريح لصحفي وكالة تونس افريقيا للانباء، إنّه من المنتظر أن تشكل المرحلة المقبلة فرصة لمعالجة عديد الأمراض، وإجراء عديد العمليات الجراحية بالمستشفى الجهوي، بما من شأنه تقريب الخدمات الصحية من مرضى الجهة والولايات المجاورة، وتخفيف الضغط على مستشفيات تونس العاصمة.
ووفق المدير الجهوي للصحة بجندوبة، خليل الغجاتي، فإنّ هذه العملية تعتبر أولى ثمار إضفاء الصبغة الجامعية على قسمي التخدير والإنعاش بالمستشفى الجهوي بجندوبة مطلع الشهر الجاري، ونتيجة لتوفر طاقم طبي مختص قادر على إجراء تدخلات ناجعة ومعالجة أمراض كانت تُحال سابقا إلى المستشفيات المركزية بالعاصمة، والتي تتطلب عادة آجال انتظار طويلة.
وقال الغجاتي، في تصريح تصريح لصحفي وكالة تونس افريقيا للانباء، إنّه من المنتظر أن تشكل المرحلة المقبلة فرصة لمعالجة عديد الأمراض، وإجراء عديد العمليات الجراحية بالمستشفى الجهوي، بما من شأنه تقريب الخدمات الصحية من مرضى الجهة والولايات المجاورة، وتخفيف الضغط على مستشفيات تونس العاصمة.




Comments
0 de 0 commentaires pour l'article 325427